Theo dõi Báo Thanh tra trên
Chính Bình
Thứ hai, 08/12/2025 - 18:01
(Thanh tra) - Một người đàn ông 35 tuổi, quê Nghệ An, làm việc tại Thái Lan, vừa trải qua hành trình giành giật sự sống sau khi nhiễm “vi khuẩn tử thần” Burkholderia pseudomallei và nhanh chóng rơi vào suy đa tạng.
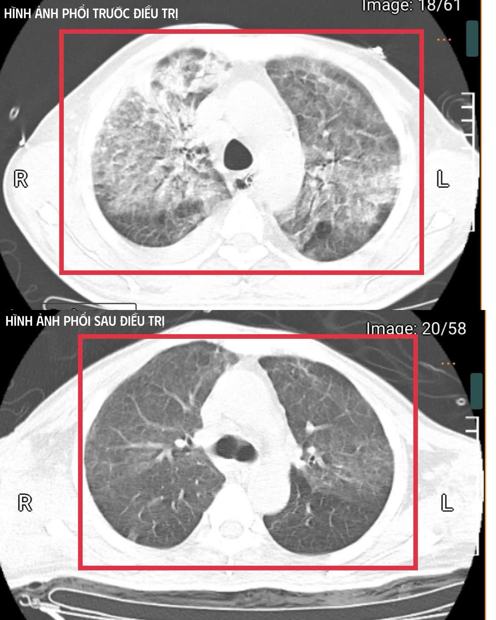
Sau ba tuần điều trị, bệnh nhân đã hồi phục hoàn toàn: Tỉnh táo, tự thở khí phòng, huyết áp ổn định, cơ lực chi trên đạt 5/5, chi dưới 4/5. Ảnh: BVCC
Bệnh nhân L.V.T., 35 tuổi, sinh sống tại khu vực có tỷ lệ mắc bệnh Whitmore cao ở Thái Lan và mới được chẩn đoán đái tháo đường. Khoảng một tuần trước khi trở về Việt Nam, anh xuất hiện sốt cao liên tục, khó thở, kích thích nhiều và phải nhập cấp cứu tại một cơ sở y tế bản địa.
Tại đây, bệnh nhân được đặt nội khí quản thở máy; xét nghiệm máu xác định nhiễm Burkholderia pseudomallei. Dù đã được điều trị ban đầu, tình trạng vẫn tiếp tục diễn tiến nặng.
Trở về Việt Nam, bệnh nhân nhanh chóng rơi vào sốc nhiễm khuẩn, suy đa tạng, sốt cao, rối loạn ý thức và được chuyển khẩn cấp đến Khoa Cấp cứu, Bệnh viện Bệnh Nhiệt đới Trung ương.
ThS.BSNT Nguyễn Kim Anh cho biết, khi tiếp nhận, bệnh nhân hôn mê sâu (Glasgow 9 điểm), mất phản xạ đường thở, phải thở máy hoàn toàn. Nhiệt độ cơ thể liên tục 41 - 42°C kèm run cơ, dấu hiệu của tăng thân nhiệt ác tính trên nền nhiễm khuẩn huyết tối cấp.
Người bệnh bị suy đa tạng nghiêm trọng: Men gan, bilirubin, creatinin tăng rất cao; rối loạn đông máu; vô niệu; chỉ số CK vượt 100.000 U/l kèm đau cơ, nước tiểu sẫm màu; các chỉ số viêm CRP, PCT tăng vọt.
Bệnh nền đái tháo đường chưa kiểm soát và viêm gan C mạn càng làm cơ thể suy kiệt.
Theo bác sĩ Kim Anh, đây là thể tối cấp của Whitmore, nguy cơ tử vong trong thời gian ngắn.
Ngay lập tức, kíp bác sĩ triển khai nhiều biện pháp hồi sức tích cực: An thần sâu bảo vệ não, hạ thân nhiệt chủ động, thiết lập đường truyền trung tâm, theo dõi huyết động, điều chỉnh rối loạn toan - điện giải, phối hợp kháng sinh theo phác đồ Melioidosis và lọc máu liên tục nhiều ngày để hỗ trợ thận, giảm độc chất và phản ứng viêm.

Hình ảnh chụp phổi của bệnh nhân mắc Whitmore. Ảnh: BVCC
Sau khoảng ba ngày, bệnh nhân bắt đầu cắt sốt, các chỉ số viêm giảm, thuốc vận mạch được hạ liều, chức năng gan thận cải thiện và tri giác dần hồi phục. Bệnh nhân được cai máy thở (qua mở khí quản), tập thở tự nhiên và phục hồi vận động.
Sau ba tuần điều trị, anh T. đã hồi phục hoàn toàn: tỉnh táo, tự thở khí phòng, huyết áp ổn định, cơ lực chi trên đạt 5/5 và chi dưới 4/5. Người bệnh được xuất viện và tiếp tục theo dõi ngoại trú.
Bác sĩ Kim Anh cho biết, Whitmore là bệnh truyền nhiễm nguy hiểm, có thể gây suy đa tạng và tử vong nhanh, đặc biệt ở người có bệnh nền như đái tháo đường, viêm gan mạn hoặc người tiếp xúc nhiều với đất, nước ẩm. Bệnh thường khởi phát không điển hình, dễ nhầm lẫn và bị bỏ sót.
Người dân có yếu tố nguy cơ hoặc triệu chứng sốt kéo dài không rõ nguyên nhân được khuyến cáo đến cơ sở chuyên khoa truyền nhiễm để xét nghiệm, chẩn đoán và điều trị sớm. Việc tuân thủ phác đồ kháng sinh kéo dài là yếu tố quan trọng để tránh tái phát.
Ca bệnh là lời nhắc nhở cộng đồng không chủ quan với các biểu hiện sốt kéo dài, đặc biệt với những người sống hoặc làm việc tại vùng lưu hành Whitmore và có bệnh nền.
Ý kiến bình luận:
Hiện chưa có bình luận nào, hãy trở thành người đầu tiên bình luận cho bài biết này!
(Thanh tra) - Cục Quản lý Dược (Bộ Y tế) khẳng định thuốc tiêm YEZTUGO dự phòng HIV chưa được cấp phép tại Việt Nam; đồng thời yêu cầu Sở Y tế các địa phương khẩn trương thông báo tới các cơ sở kinh doanh, sử dụng thuốc và người dân không mua bán, sử dụng thuốc tiêm YEZTUGO
Thanh Lương
(Thanh tra) - Ngày 24/03/2026 tại Hà Nội, Hệ thống Y tế Vinmec và Liên đoàn Bóng đá Việt Nam (VFF) chính thức ký kết mở rộng hợp tác chiến lược, đưa hệ thống y tế chất lượng cao hiện diện trực tiếp tại sân thi đấu. Không chỉ góp phần nâng cao năng lực ứng phó khẩn cấp và bảo vệ tối đa sức khỏe vận động viên, hợp tác này còn thể hiện vai trò ngày càng rõ nét của Vinmec trong việc đồng hành cùng bóng đá Việt Nam bằng nền tảng y học thể thao hiện đại, chuyên sâu và tiệm cận chuẩn quốc tế.
PV
Thanh Lương
Thanh Lương
Thanh Lương
Đỗ Anh Tuấn - Thanh tra Bộ Công an
Bùi Bình
H.T
PV
Chu Tuấn
Dương Nguyễn
Nam Dũng
PV
Văn Thanh
Trí Vũ
Phương Hiếu
Giang Sơn