Theo dõi Báo Thanh tra trên
Thu Anh
Thứ hai, 13/01/2025 - 07:55
(Thanh tra) - Bệnh nhân N.C.T (40 tuổi - Hà Nội) giảm 10kg trong 1 tháng, thiếu máu nghiêm trọng, tổn thương thượng thận, viêm ruột cấp, suy nhược cơ thể vì nhiễm giun lươn sau ăn gỏi hải sản.
Bác sĩ Nguyễn Tiến Sơn - Phó khoa Tiêu hóa, Bệnh viện đa khoa Hồng Ngọc Phúc Trường Minh thăm khám cho bệnh nhân
Suy dinh dưỡng, thiếu máu nghiêm trọng vì nhiễm giun lươn
Mới đây, Bệnh viện đa khoa Hồng Ngọc đã tiếp nhận và điều trị thành công trường hợp bệnh nhân suy dinh dưỡng, thiếu máu nghiêm trọng do nhiễm giun lươn. Bệnh nhân N.C.T (40 tuổi) nhập viện tại Trung tâm Tiêu hoá - Bệnh viện đa khoa Hồng Ngọc trong tình trạng mệt mỏi, chán ăn, gầy sút 10kg, đại tiện phân lỏng kéo dài.
Khai thác bệnh sử được biết các triệu chứng trên đã xuất hiện hơn 1 tháng, bệnh nhân T đã thăm khám sức khoẻ nhiều nơi nhưng không xác định được nguyên nhân gây bệnh. Bệnh nhân cũng chia sẻ sở thích ăn gỏi hải sản và thường xuyên mua hải sản tươi sống về tự chế biến tại nhà.
“Kết hợp thăm khám lâm sàng và xem xét các hồ sơ bệnh án cũ, bác sĩ nghi ngờ tình trạng của bệnh nhân T có liên quan đến ký sinh trùng. Do đó, bác sĩ đã chỉ định xét nghiệm máu, xét nghiệm phân, đồng thời thực hiện các kiểm tra cận lâm sàng cần thiết để đánh giá chính xác tình trạng bệnh.” - Bác sĩ Nguyễn Tiến Sơn, Phó khoa Tiêu hóa - Bệnh viện đa khoa Hồng Ngọc Phúc Trường Minh cho biết.
Kết quả kiểm tra cho thấy bệnh nhân T dương tính với giun lươn, gây ra những biến chứng nghiêm trọng: viêm ruột, tổn thương thận cấp tính, suy dinh dưỡng, thiếu protein - năng lượng mức độ nặng.

Kết quả xét nghiệm máu và phân của bệnh nhân T dương tính với ký sinh trùng giun lươn
“Tôi nghĩ mua hải sản về nhà tự chế biến thì sạch sẽ nên ăn khá thường xuyên. Tưởng mình tự làm là yên tâm nhưng không ngờ vẫn mắc giun lươn mà lại bị nặng đến thế này.” - Bệnh nhân T chia sẻ.
Ngay lập tức, bệnh nhân T được chỉ định nhập viện điều trị nội khoa, truyền máu, bù dinh dưỡng đầy đủ. Sau 1 tuần điều trị, các rối loạn trên đường tiêu hoá đã thuyên giảm, bệnh nhân phục hồi tốt và ăn uống được trở lại bình thường.
Sau hơn 2 tháng theo sát phác đồ, bệnh nhân tăng 10 kg, không còn mệt mỏi, sắc da hồng hào, tinh thần phấn chấn, thoải mái.
“Vì giun lươn có khả năng phát triển và lây nhiễm cả trong cơ thể người (chu kỳ nội sinh) và trong môi trường ngoài (chu kỳ ngoại sinh) nên việc điều trị có thể gặp nhiều khó khăn. May mắn là bệnh nhân T đáp ứng tốt với phác đồ điều trị và có những cải thiện rõ rệt. Sau hơn 2 tháng theo sát, bác sĩ kiểm tra 3 mẫu phân liên tiếp, xác định không còn hình ảnh giun lươn trong mẫu xét nghiệm của bệnh nhân. Tuy nhiên, bệnh giun lươn có chu trình tái nhiễm lại, nếu không có các biện pháp phòng ngừa, theo dõi và tẩy giun định kỳ thì nguy cơ tái phát bệnh với các triệu chứng nặng là rất cao. Do đó, bệnh nhân T vẫn cần kiểm tra định kỳ và tẩy giun mỗi 6 tháng/ lần để đảm bảo an toàn” - Bác sĩ Nguyễn Tiến Sơn cho biết thêm.
Nguy cơ nhiễm giun lươn vì những thói quen đơn giản thường ngày
Bác sĩ Nguyễn Tiến Sơn cho biết, giun lươn có thể tồn tại trong cơ thể nhiều năm và gây ra tình trạng nhiễm trùng mạn tính hoặc tái nhiễm nếu không điều trị đúng cách. Do đó, đây được coi là một trong những loại ký sinh trùng đường tiêu hóa nguy hiểm nhất.
Bệnh giun lươn thường không có triệu chứng lâm sàng rõ ràng nên dễ gây nhầm lẫn với các rối loạn tiêu hóa thông thường. Khi nhiễm giun lươn nếu không được phát hiện và điều trị kịp thời, ký sinh trùng giun lươn sẽ gây hại cho hệ tiêu hóa và có thể xâm nhập rộng hơn dẫn đến tổn thương tim, phổi, não,...
Cũng theo Bác sĩ Nguyễn Tiến Sơn, giun lươn thường lây qua 2 con đường chính: ăn uống hoặc lây qua da vào mạch máu. Theo đó, thói quen ăn uống đồ tái sống (rau sống, gỏi hải sản, thịt tái/ sống…) là nguyên nhân chính dẫn đến bệnh giun lươn. Ngoài ra, người thường xuyên tiếp xúc với đất cát mà không đeo găng tay, không vệ sinh tay sạch sẽ sau khi làm việc… cũng có nguy cơ cao nhiễm giun lươn.

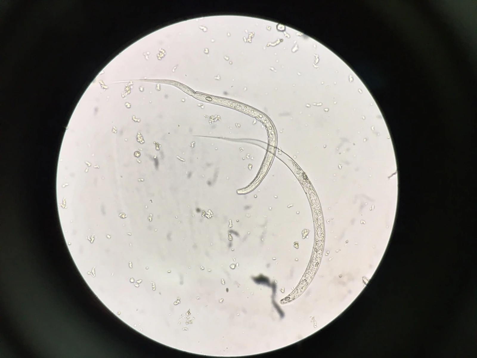
Ký sinh trùng giun lươn. Ảnh: IT
Khi mắc giun lươn, người bệnh có thể gặp phải một số triệu chứng như mẩn ngứa, nổi mề đay ngoằn nghèo ở da, buồn nôn, chán ăn, rối loạn tiêu hóa… Nếu tình trạng bệnh nặng hơn có thể xuất hiện các triệu chứng như khó thở, khò khè, đau ngực, ho ra máu… Khi có một trong những triệu chứng này, người bệnh nên nhanh chóng đến cơ sở y tế uy tín để thăm khám và được chẩn đoán chính xác bệnh. Từ đó có phác đồ điều trị kịp thời, tránh nguy cơ biến chứng nghiêm trọng như bệnh nhân T.
“Bệnh giun lươn khi đã lan rộng có thể gây nhiễm trùng máu, viêm phổi, suy thận, viêm màng não… khiến cho việc điều trị kéo dài, tăng thêm chi phí. Do đó, người dân nên lưu ý đảm bảo ăn chín, uống sôi, rửa tay sạch trước khi ăn và sau khi đi vệ sinh, tẩy giun định kỳ 6 tháng/ lần để phòng bệnh. Bên cạnh đó, người dân cũng cần hạn chế tiếp xúc với nguồn nước và đất ô nhiễm, luôn mang đồ bảo hộ khi phải tiếp xúc trực tiếp với đất cát và xử lý phân người nhiễm bệnh đúng cách để ngăn ngừa ô nhiễm môi trường, lây lan bệnh tật.” - Bác sĩ Nguyễn Tiến Sơn khuyến cáo thêm.
Trung tâm Tiêu hóa - Bệnh viện đa khoa Hồng Ngọc khám & điều trị toàn diện bệnh lý Tiêu hóa, Gan - Mật - Tụy:
Bác sĩ trên 30 năm kinh nghiệm trực tiếp thăm khám, tư vấn 1-1
Công nghệ tiên tiến: Nội soi NBI EXTRA III hàng đầu Nhật Bản, chụp CT 2560 lát cắt đầu tiên tại Việt Nam, siêu âm đàn hồi mô gan LOGIQ Hoa Kỳ,...
Thủ tục nhanh gọn, hạn chế chờ đợi, nhân viên hỗ trợ 24/7.
>>> Hotline: 0911 908 856
Ý kiến bình luận:
Hiện chưa có bình luận nào, hãy trở thành người đầu tiên bình luận cho bài biết này!
(Thanh tra) - Trong khi Tổ chức Y tế thế giới (WHO) đã tuyên bố, kháng thuốc là 1 trong 10 mối đe dọa sức khỏe hàng đầu mà nhân loại phải đối mặt thì ở Việt Nam, chuyện người dân ra nhà thuốc tự kể bệnh, tự mua thuốc đã trở nên quá quen thuộc. Chính thói quen tự dùng thuốc này đang âm thầm bào mòn sức khỏe không phải chỉ của chính họ mà còn ảnh hưởng tới cả cộng đồng và tạo ra nguy cơ kháng thuốc trong tương lai.
Hoàng Nam
(Thanh tra) - Việc tăng cường thực hiện môi trường không khói thuốc tại các nhà hàng, khách sạn, khu du lịch và địa điểm công cộng là nhiệm vụ cấp thiết và bền vững, nhằm bảo vệ sức khỏe con người, tiết kiệm chi phí y tế, giảm gánh nặng bệnh tật, đồng thời góp phần bảo vệ cảnh quan, môi trường và thúc đẩy phát triển du lịch bền vững của Việt Nam.
Phương Anh
Phương Anh
Chính Bình
Chính Bình
Chính Bình
Văn Thanh
T. Minh
Hải Hà
Trần Quý
Nhật Huyền
Hải Hà
Hương Giang
Thanh Hoa
Trần Kiên
Hương Giang
Thu Huyền
Hải Hà